[ Estética e função ]
[ Atendimento humanizado ]
Cirurgiã-Dentista especialista em Dentística. Atendimento personalizado com foco em estética dental e função utilizando técnicas avançadas para resultados naturais e duradouros.
Agendar consulta
Ver feedbacks



Dra. Lara Toledo
Quer um sorriso bonito, saudável e funcional? Conte com uma profissional que une estética e cuidado com sua saúde bucal, oferecendo tratamentos personalizados e tecnologia de ponta.

Bem-vindo ao meu universo na odontologia!
Aqui você vai conhecer não apenas o que eu faço, mas, principalmente, como faço. Meu propósito é oferecer um atendimento humanizado, aliado à excelência em cada detalhe.

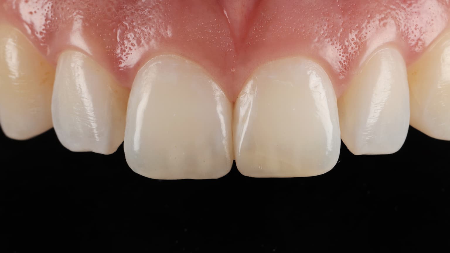
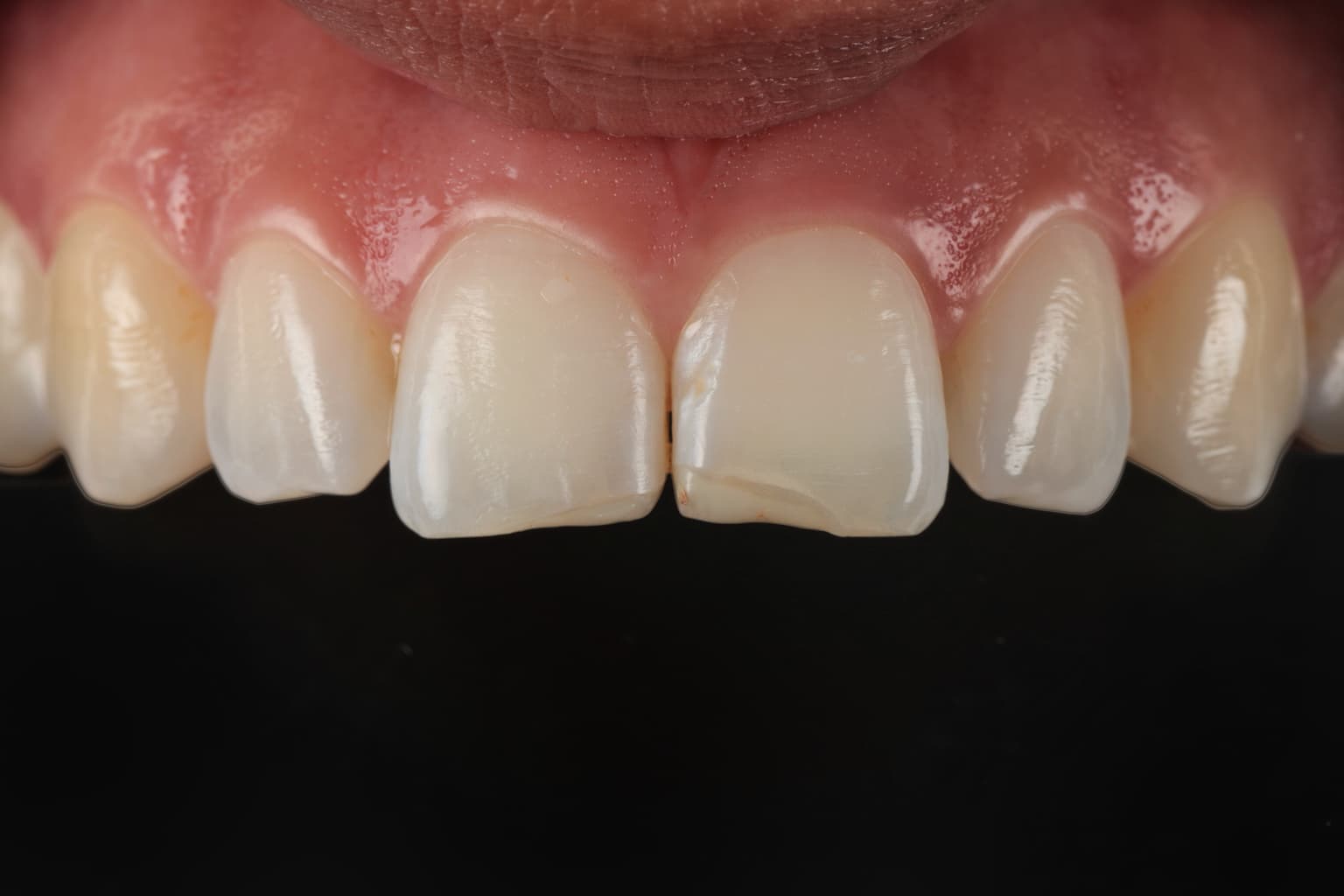
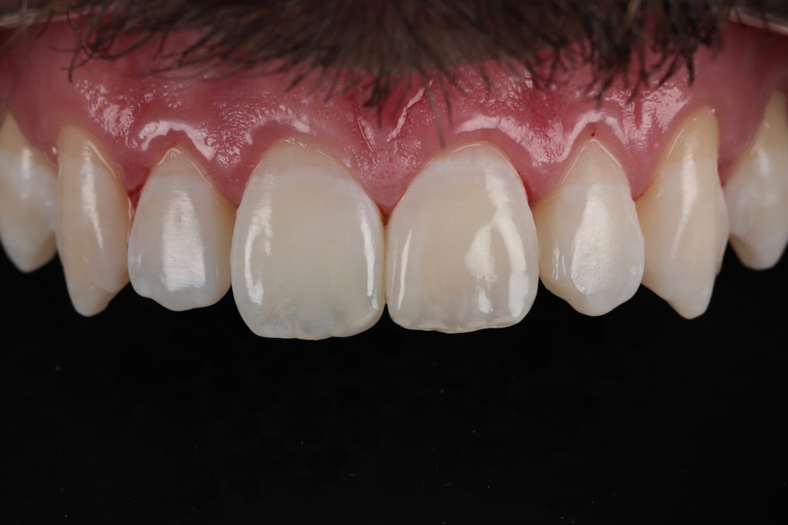
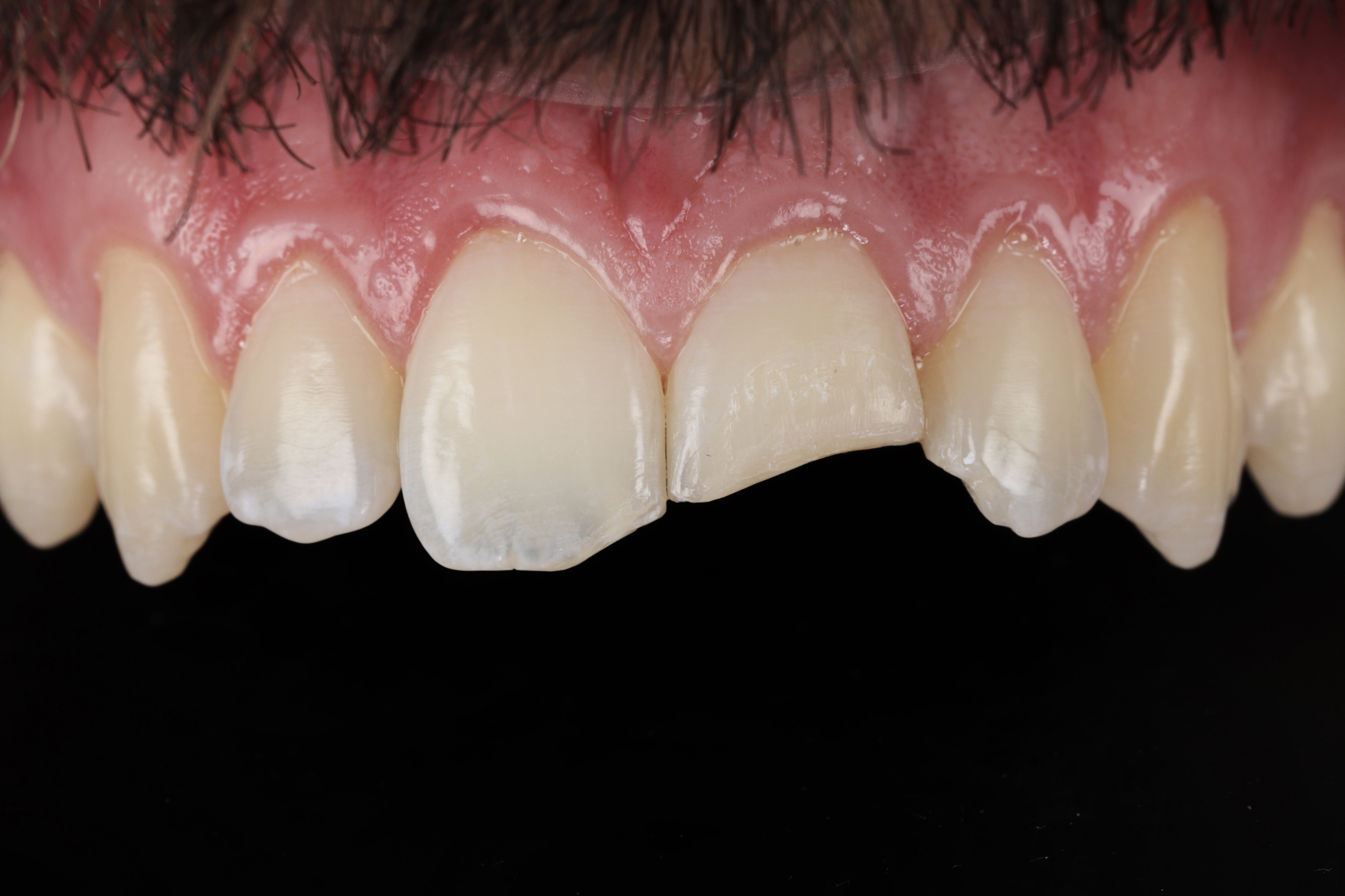
Facetas em Cerâmica
Tratamento estético que melhora o formato e a cor dos dentes utilizando facetas de cerâmica de alta qualidade.

Facetas em Resina
Correção estética de dentes desgastados ou manchados com facetas de resina aplicadas diretamente na superfície dental.

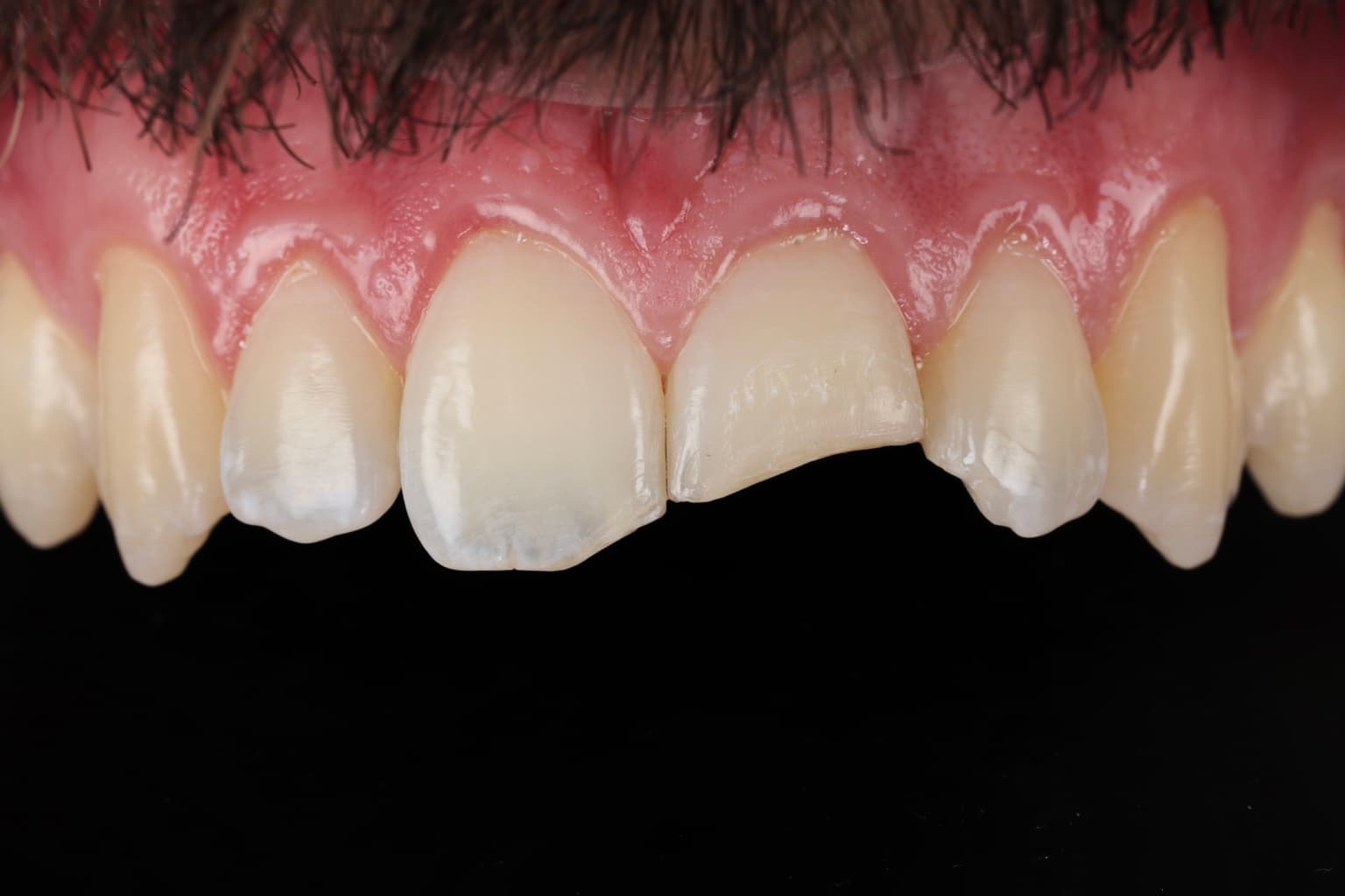
Restaurações Diretas e Indiretas
Restauração de dentes com materiais estéticos, incluindo restaurações diretas, blocos e coroas.

Clareamento Dental
Tratamento estético que clareia os dentes, eliminando manchas causadas por alimentos, tabaco e envelhecimento.

Placa de Bruxismo e Manejo da Dor
Confeccionadas sob medida para proteger os dentes e aliviar dores relacionadas ao bruxismo.

Reabilitação Oral
Tratamentos que restauram estética e função, devolvendo saúde, equilíbrio e harmonia ao sorriso.
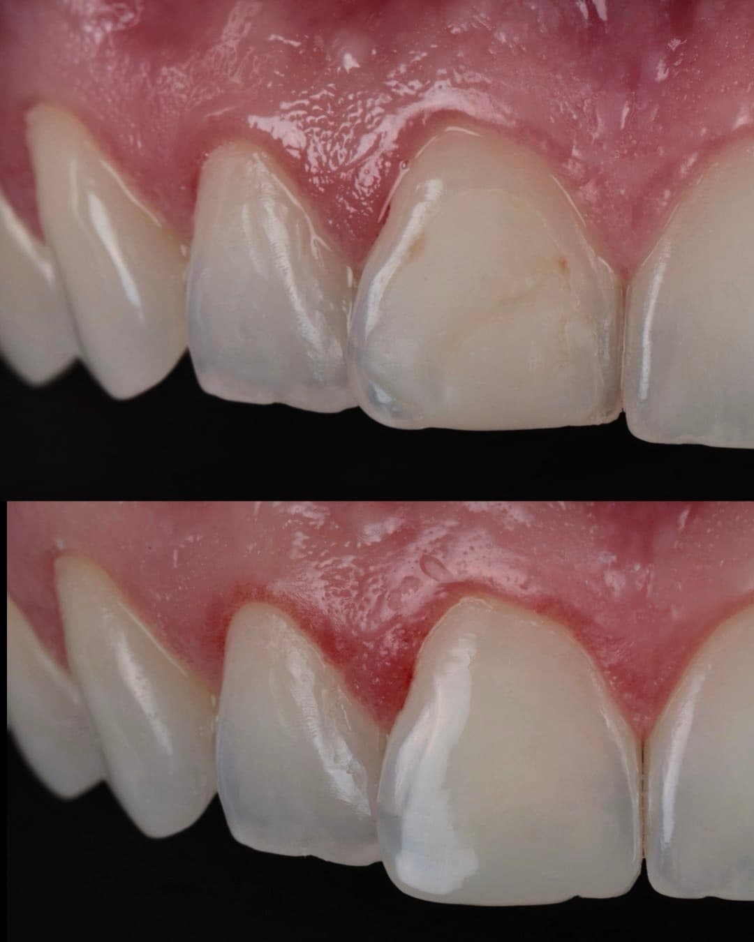
Resultados comprovados
Recuperando sorrisos